Last pregnancy, I did mostly experimental work and very
little writing. That was nice, as my auto-pilot worked very well, but my
thinking and focus abilities seemed a bit disturbed by being pregnant. This
time around, I still need to finish 4 grants before this baby is due by the end
of November. Truth be told, one is a resubmission and the other three have been
in the making for a couple months, so I still think this is very doable.
However, I do feel that some days my ability to stay focused and remember where
I read something, or which paper to refer to seems a bit off. Is this really a
pregnancy thing? Is something happening to my brain?! The all-knowing Dr. Oz says the
following about it:
“Dr. Oz says a woman's brain also shrinks by about 8 percent. "You don't lose cells. The cells get smaller," he says. "It might be because you're focused on one thing, but the good news is after you give birth, your brain begins to rewire quickly. … Your brain actually gets more powerful than before you got pregnant."
Apparently he knows more than the rest
of us, because the only data I could find were structural MRI studies showing
that indeed the brain shrinks a bit, and the ventricles containing
cerebrospinal fluid get a bit bigger when you are pregnant. The 8% (that you
read on a lot of popular pregnancy websites by the way) seems to be a bit much
too, as this study for
example just finds a change of approximately 4% in brain size (in healthy
pregnant women that is, women with preeclampsia have more brain shrinkage). And
with MRI there is really no way that one can say that this is your cells
shrinking and especially not that after birth your brain rewires quickly: you
can simply not see that on an MRI.
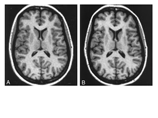
| Yes, this is your brain on pregnancy, from this study. A is the pre-pregnant brain, and B is the pregnant brain, at full term. Note that the ventricles are enlarged in B. (Are you also that annoyed by popular science magazines saying “this is your brain on… [insert whatever] and then show a picture of an MRI? Me too!) |
So yes, your brain gets a bit smaller when you are pregnant.
But does a 4% decrease in size affect your ability to write grants? Only time
will tell.
